ホワイトスポット #マツムラトシオ歯科 #千歳烏山 歯科
2025年12月23日
寒くなってきましたね。
インフルエンザも流行っていますがみなさま体調は大丈夫でしょうか?
本日はホワイトスポットとホワイトニング・アイコン治療について書きたいと思います。
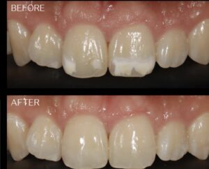
🦷 ホワイトスポットとは?

Screenshot
歯の表面に白い斑点のような部分が見えることがあります。これが「ホワイトスポット」です。原因はさまざまですが、代表的なものは以下です:
• 初期むし歯:エナメル質が酸で溶け始めた状態
• エナメル質形成不全:歯が作られる過程で栄養や環境の影響を受けた場合
• 矯正治療後の白斑:ブラケット周囲の清掃不足による脱灰
見た目の問題だけでなく、むし歯のサインであることもあるため注意が必要です。
✨ ホワイトニングとホワイトスポット
ホワイトニングは歯全体を白く美しくする治療です。
• ホワイトニング後に目立つことがある
歯全体が白くなることで、もともと白濁していた部分がコントラストとして強調される場合があります。
• アイコン治療との併用が効果的
ホワイトニングで歯全体を明るくした後、アイコン治療で白斑を改善すると、より自然で美しい仕上がりになります。
💡 アイコン治療とは?
アイコン治療は、ホワイトスポットを削らずに改善できる新しい治療法です。
浸透性レジンを歯に浸透させることで、白斑を目立たなくし、自然な色調に近づけます。
特徴
• 削らない:歯を傷つけずに治療可能
• 自然な見た目:ホワイトニング後の歯にも馴染みやすい
• 短時間で完了:1回の治療で改善できることが多い
ホワイトニング
歯全体を明るくする 黄ばみや着色が気になる場合
アイコン治療
削らず白斑を改善 ホワイトスポットが目立つ場合
併用治療
全体を白く+白斑改善
ホワイトスポットは「むし歯なの?」「ホワイトニングしたら目立ってしまった…」と不安になる方が多いですが、削らずに改善できる治療法があります。
特にアイコン治療は、ホワイトニング後の白斑にも有効で、自然な笑顔を取り戻すサポートになります。
気になる白い斑点がある方は、ぜひご相談ください。あなたに合った最適な方法をご提案いたします。
専門的な判断は歯科医師が行いますので、安心してご来院ください
マツムラトシオ歯科
千歳烏山駅徒歩30秒
インプラント
アイコン
ホワイトニング






